
Ainda pouco visível e entendida, a conexão entre bilhões de computadores, equipamentos e produtos pela web está se tornando uma realidade que vai transformar nossas vidas e criar a base para a revolução da internet das coisas. Esse conceito começou a ser desenhado há quase dez anos nos laboratórios do MIT (Massachusetts Institute of Technology). A idéia inicial era criar uma nova geração de códigos de barras, mas ela evoluiu para algo bem mais complexo: a proposta de ligar através de um chip de Identificação por Radiofreqüência (RFID) todas as coisas à internet – de sofisticados equipamentos até o pote de maionese – para que esses objetos pudessem se comunicar entre si e gerar informações a serem usadas nas mais diferentes funções.
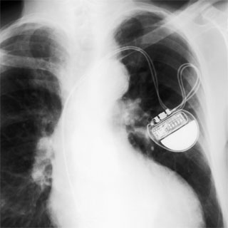
A americana Carol Kasyjanski se tornou, no mês de agosto, a primeira pessoa nos Estados Unidos a ter implantado um marca-passo com conexão sem fio à rede mundial de computadores. Tanto o funcionamento do coração como o do equipamento são monitorados remotamente pelos médicos do hospital St. Francis, de Nova York. Diariamente, é feita uma checagem automática pelo servidor do hospital, para averiguar se há algum problema. O computador é capaz de avaliar se há algo de preocupante, e o médico só é avisado se a máquina detectar algum risco.
A visão mais conhecida dessa nova rede é a casa inteligente, na qual a geladeira consegue avisar seu dono se o iogurte está vencido e fazer o pedido do produto novo no supermercado. Embora exista tecnologia para fazer isso, a realidade é que esse admirável mundo novo está sendo criado em setores menos visíveis como logística, controle, depósitos e segurança. De redes de supermercado a montadoras de automóveis, diferentes indústrias usam soluções de RFID - Identificação por Radiofreqüência - que permitem gerenciar melhor seus processos.
Apesar de importantes, essas primeiras aplicações não representam o potencial imaginado pelos cientistas. “A fase em que estamos hoje ainda é o embrião do que teremos”, disse a Edson Porto da Época NEGÓCIOS o americano Tim Zimmerman, analista em serviços de comunicação do Instituto Gartner, especializado em TI. Hoje, por mais sofisticados que sejam os sistemas, eles estão isolados. A maioria não se comunica entre si nem com o ambiente em volta.
Veja o vídeo
link: http://epocanegocios.globo.com/Revista/Common/0,,EMI96986-16368,00-O+DIA+EM+QUE+OS+OBJETOS+FALAREM.html



“Envie seu depoimento sobre o que o presidente Lula deve apresentar em Copenhagen, em dezembro desse ano, quando deverá ser estabelecido um acordo climático para a redução das emissões de gases de efeito estufa e adoção de medidas de adaptação as alterações climáticas.






